Choosing a Retainer

If you are on this page, there is a good chance you finished, or are close to finishing your orthodontic treatment. Let us be the first to say congratulations 🎉. At this stage of your smile transformation, the primary goal is to keep your teeth and bite as good as they are right now. We often meet people that had orthodontic treatment but failed to use their retainers as prescribed. As a result, their teeth have shifted from their original position. We don’t want that to be you. You will need a retainer to keep your teeth straight and your bite corrected. We have several different retainer options to choose from. Below are the pros and cons of each. Please be ready at your next appointment to indicate which retainer option you prefer.

Clear Retainer

A clear retainer is made out of a clear medical-grade polymer. It adapts tightly to the teeth and is the most common option for keeping your teeth from moving. They are also the most esthetic option, and can often be used for whitening your teeth.

Pros 

✓ Most esthetic option

✓ Can be removed for cleaning eating

✓ Can be used for bleaching

✓ Most cost-effective

✓ Quick fabrication and delivery

✓ Can prevent wear from grinding

Cons

✗ Can be removed and lost

✗ Can wear out faster with significant grinding

✗ Must be worn at least 8 hours a day FOR-E-VER

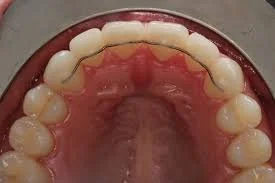
Bonded “Permanent” Retainers

A bonded retainer is a small, thin wire bonded (glued) to the back of the bottom and/or top front teeth (incisors). While most removable retainers are worn a minimum of 8 hours per day, bonded retainers usually remain adhered to the teeth indefinitely. Patients with bonded retainers usually maintain the alignment of their teeth longer than patients with removable retainers. This is primarily due to the discontinued use of removal retainer over time. Wearing a retainer forever can be a daunting task. The primary negative to the permanent retainer is that it is harder to keep clean and floss.

*Upper-bonded retainers are more challenging to place and maintain than lower-bonded retainers. This is due to the bottom front teeth hitting the back of the upper front teeth at the ideal location for placement of the upper bonded retainer. As a result, upper permanent retainers are more likely to break or affect the bite.

Pros

✓ Cannot be removed and lost

✓ Usually the best option for maintaining orthodontic results long term

✓ Not visible outside the mouth

Cons

✗ Harder to clean

✗ Can come loose over time

✗ Cannot be removed without help from a dental professional

✗ Bite must be considered, and it is usually not ideal for the upper teeth

Choosing a Retainer

All of the retainer options work well for most people. We recommend removable retainers for the upper and lower teeth. While we feel this option gives the best combination for comfort and maintaining results, patients are able to choose which retainer will best suit them. Your treatment includes one upper clear retainer and one lower clear or bonded retainer. Hawley retainers and upper bonded retainers have an additional charge. Please contact us if you have any questions regarding our retainer options.